Email Us
01 4966246
Home
Why Choose Us
Meet Our Team
Practice Gallery
New Patients
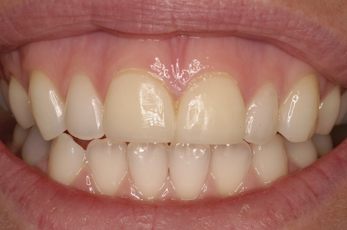
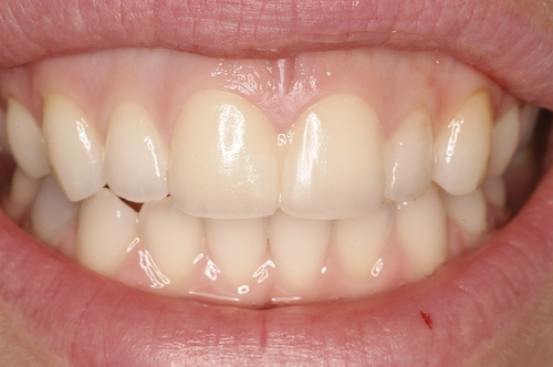
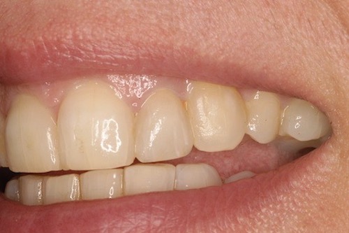
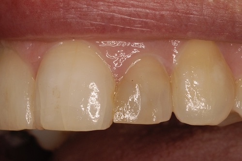
Smile Gallery
Orthodontics
Fees
Contact Us